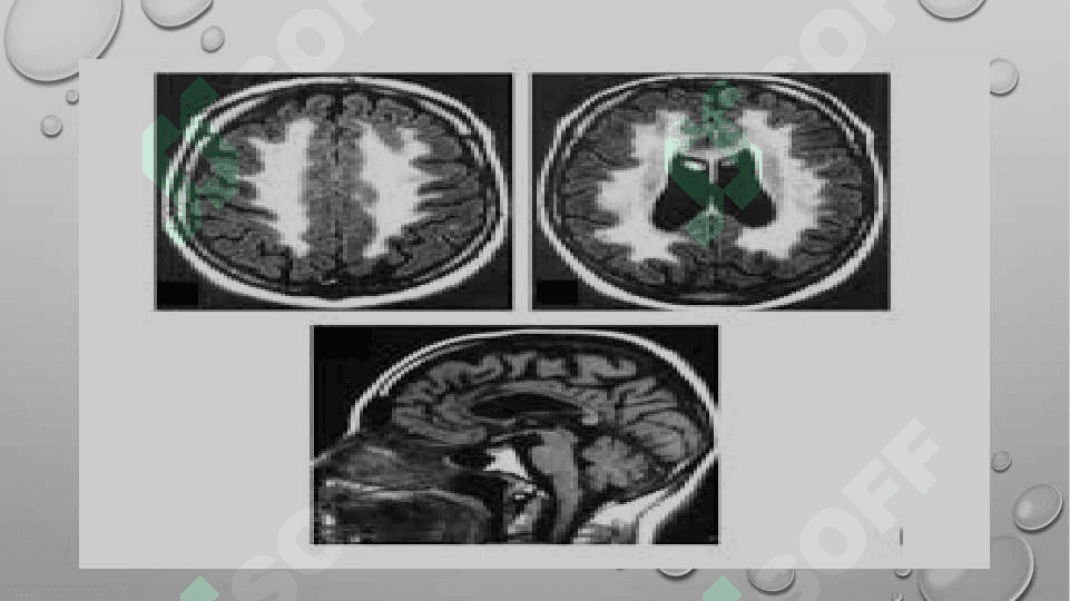
Metoxromatik leukodistrofiya
Taqdimotlar | Anatomiya 111
Mualliflik huquqi buzilgan holatdashikoyat qiling!
6 000 so'm
- Betlar soni:22 ta
- Fayl hajmi :1.32 MB
- Fayl turi:.pptx
Mahsulot tavsifi
Hozircha muallif ushbu mahsuloti uchun tavsif qo‘shmagan.
FreelancerBoy 22
3202 ta
1377 ta
Yuklanmoqda...

0 ta izoh